
2022中国艺术品金融年度人物获得者 李铁军
李铁军,北京大学口腔医学院口腔病理学教授,他和团队在口腔医学专业上的系列工作在国内外均有一定影响。2006年获国家杰出青年科学基金资助,迄今发表学术论文100余篇,其中SCI论文89篇,2014年以来曾7次被爱思唯尔Scopus数据库列为中国高被引学者,先后参编第三、四、五版《WHO头颈部肿瘤分类》。李铁军教授业余爱好摄影,是中国摄影家协会会员,他通过显微镜棱镜的哲学观看,从生物学和医学认知框架中突围,发现生命记忆中的另一片天地洪荒。他在医学和艺术上的“跨界”探索,受到了多方关注。其显微摄影作品先后在北京大学、清华大学、中国人民大学、武汉大学、北京理工大学、美国太平洋大学等国内外知名大学举办过艺术展,部分作品被国内外大学的博物馆收藏;同时,其作品也在北京国际摄影周、北京798臻空间、“郎静山杯”中国新画意摄影双年展、“多彩中国”沙龙等艺术圈举办过个人影展或艺术交流活动。他的作品被摄影作杂志《摄影世界》和多本医学专业期刊选作封面。他先后出版《生命之美》、《显微镜下生命的奥秘与遐想》(与彭志翔合编)、《生命如诗如歌》和《寻境——生命之美显微摄影艺术》等四部艺术画册或医学人文书籍,其中新近出版的《寻境——生命之美显微摄影艺术》荣获“2021中国医界好书”。最近,他又获得2022中国摄影年度人物、2022中国艺术品金融年度人物等荣誉。

狐仙 - 牙齿磨片局部的镜像X100 -偏振光 -2014 - Fox fairy - Mirror image of part of dentin section X100 - Polarized light -2014

寒枝- 未脱钙骨组织磨片X100-偏振光-2013
Winter branches - Trabecular bone - Grounding section X100 - Polarized light - 2013

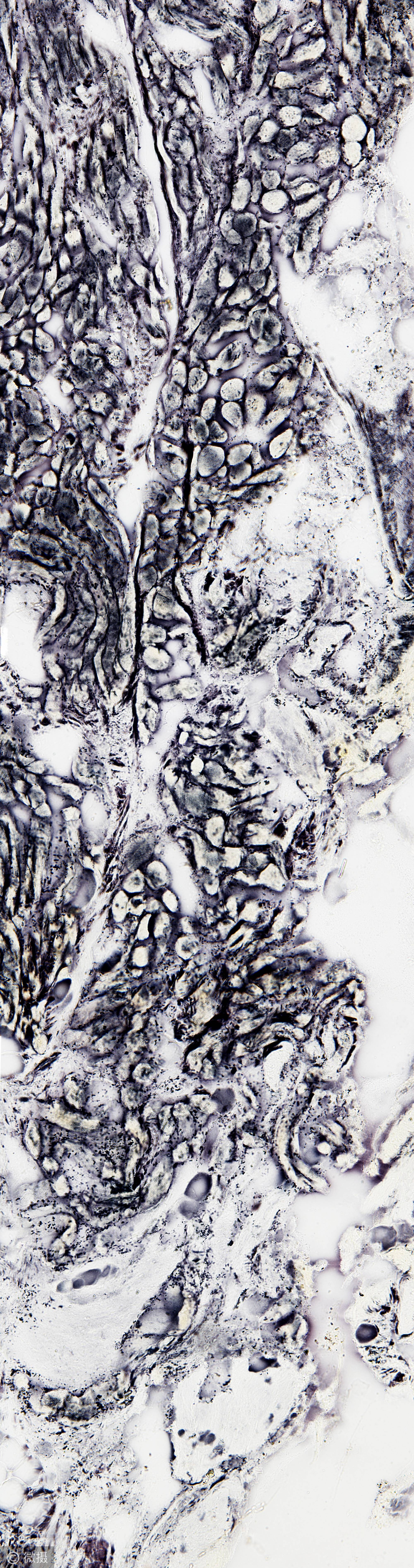
星空No.8-未脱钙骨组织磨片X200-明视野+偏振光-2019 -
Starry sky No.8- Cortical bone -Grounding tissue section X200 - Light field + polarized light - 2019

紫雨- 牙髓组织切片X40 - 荧光 -2011-
Purple rain - Deantal pulp -Tissue section X40 - Fluorescence - 2011

化蝶-牙龈组织切片局部的镜像X100-偏振光-2014 -
Butterfly - Mirror image of part of gingval tissue section X100 - Polarized light

红蘑菇-脱钙骨组织切片,X12.5,明视野,2012

溪畔秋树 - 灌墨血管组织切片X40 倍 - 明视野+偏振光 - 2014 -
Autumn tree by the creek - Ink-irrigated blood vessels - Tissue section X40 - Light field+polarized light - 2014

日丽-牙龈黏膜组织切片X100 - 明视野+偏振光 - 2019 -
Sunny day - Gingival mucosa - Tissue section X100 - Light field + polarized light - 2019

寒山长卷 - 银染横纹肌组织切片 X200 - 明视野 - 2017 -
Snow mountain - Striated muscle - Tissue scetion X200 - Light fired - 2017

夏日-横纹肌组织切片X40 - 偏振光 - 2019 -
Summer - Striated muscle - Tissue section X40 - Polarized light - 2019

俯瞰鸟岛,骨组织脱钙切片,X12.5,偏振光,2017 -
Aerial view of bird island - Sponge bone - Tissue section X12.5 -Polarized light - 2017

江山多娇 - 骨组织脱钙切片X100 - 明视野+偏振光 -2019 -
Beautiful mountain - Trabecular bone - Tissue section X100 -Light field + polarized light - 2019

花的眼睛-软骨组织切片X200-明视野+偏振光-2019

秋色漫山 No.2- 未脱钙骨及肌肉组织磨片X40-明视野+偏振光-2019

黄河之水 - 未脱钙骨及纤维组织磨片X40-明视野+偏振光-2020 -
Yellow river water - Bone and fibrous tissues - Grounding tissue section X40 - Light field + Polarized light - 2020

火星 - 牙龈组织切片与封片胶交界处 X12.5 - 偏振光 - 2013-
Mars - Junction between gingiva and sealing glue - Tissue section X12.5 - Polarized light - 2013

极光-未脱钙牙齿磨片X200 偏振光,2019 -
Aurora - Dentin tissue - Grounding tissue section X200 - Polarized light - 2019

夜色-脱钙骨组织切片X100-偏振光-2014-
Night sky - Cortical bone -Tissue section X100 - Polarized light - 2014

石佛,骨组织未脱钙硬组织切片,X100,明视野,2013 -
Stone Buddha - Cortical bone -Grounding tissue section X100 - Light field - 2013

舞-脱钙骨组织切片X100-明视野+偏振光-2013
Dancing - Trabecular bone - Tissue section X100 -Light field + polarized light - 2013

金融大典|2022中国艺术品金融年度人物榜单
以“致敬时代、引领潮流”为主题的“2022(第17届)中国艺术品金融年度人物”评选揭晓,十位艺术家榜上有名。他们是,中国T抽象艺术之父霜凝、李可染画院院长李庚、新抽象表现主义水墨艺术创立人范毓周、金融书法家协会主席郭永琰、当代佛教绘画代表人物张伟-觉圣、当代禅画开创者张大华、金融美术家协会主席陈齐堃、2022冬奥特许商品雕塑艺术家章华、中国显微摄影开创者李铁军、观念摄影与抽象摄影代表性人物、艺术品金融创始人何世红。
2022年评选出的十位“中国艺术品金融年度人物”都有一个共同的特点,就是长期以来一直专注于一个领域的深入探索和创作。这正契合2022“中国艺术品金融年度人物”评选的关键词:创新、专注、使命、担当、情怀、传承、奉献、精神以及传统艺术当代化。
这些年来,他们在推动中国文化艺术发展的实践中,做到不忘本来、吸收外来、面向未来,同时以不同艺术创作的方式构筑中国精神、中国价值、中国力量,为人民提供精神指引。用不同艺术的创作和传播形式,向世界讲述着中国故事。霜凝笔墨下的T抽象艺术、李庚笔墨下的当代水墨艺术、范毓周笔墨下的东西方融合绘画艺术、郭永琰笔墨下的当代书法、张伟-觉圣笔墨下的当代佛教绘画艺术 、张大华笔墨下的当代禅画艺术、陈齐堃笔墨下的当代生肖水墨艺术、章华雕塑中的奥林匹克体育精神、李铁军镜头下的显微摄影艺术,何世红镜头下的观念摄影与抽象摄影艺术。这些来自各个领域的艺术家,正在向世界传播着中国当代艺术与艺术品金融的最强音。
2012年,张大华的当代禅画艺术登陆纽约时代广场;2015年,何世红的摄影作品登陆纽约时代广场; 2022年,霜凝的T抽象艺术《蓝色大明湖》在纽约时代广场隆重亮相;范毓周、张伟-觉圣的作品也相继在纽约时代广场亮相。除此之外,这些年来他们还相继在美国、英国、法国、德国、意大利、比利时、挪威、俄罗斯、瑞士、阿联酋、加拿大、日本、韩国等国家进行了文化艺术交流与展览。他们通过各种方式在国际舞台上展示中国传统文化艺术,并将中国传统文化艺术的当代化与国际化融合在一起,为东西方文化艺术的交流与互鉴起到了巨大的推动作用。
艺术品金融(艺术品银行)创立于2005年,由中国金融网联合多家金融机构发起。目前已经成为中国金融领域的一大品牌。